セラミッククラウンの治療例

アイタワー歯科クリニックでは、歯科医師と歯科技工士が連携し、丁寧で手間暇をかけたセラミッククラウンを制作します。
一切の妥協を許さず、患者様にとって最適な審美性を実現し、更にしっかり噛めるような機能面までを意識して治療を行ないます。
セラミッククラウンを行う前には、土台となる歯の状態や歯茎の状態を加味する必要があります。必要な治療がある場合は、セラミッククラウンの前に行ない、ベストな口腔環境になってからセラミッククラウンを制作・装着していきます。
オールセラミックの3つのこだわり
当院のオールセラミックのこだわりは3つあります。
適合
当院のオールセラミックは高い技術力をもった歯科技工士に製作を依頼しています。修復物の予後を左右する因子の1番大事なものは適合です。製作過程や最終調整段階では、歯科技工士が顕微鏡下で内面の調整を行ない、ミクロン単位の適合が得られるよう補綴物(被せもの)を作製しています。
色調
口腔内写真により、歯のシェード(歯の色調)を撮影し、より天然歯に近い色調、形態を目指しています。
噛み合わせ
いくらキレイ補綴物が出来上がっても、噛み合わせがしっかり作れていないと意味がありません。まっすぐ噛んだ噛み合わせ以外に、左右前後に顎を動かしたときの噛pみ合わせがより自然になるように作ることを心がけています。
セラミッククラウンとは?
セラミッククラウンは「被せもの」と言われるように、残っている歯を土台にして、治療した部位をセラミックで出来た冠で覆うような治療です。 審美性に優れているだけでなく、適合性が良いと言う観点から、汚れが付着しにくいという特徴も併せ持っています。
金属を使用しないオールセラミックスであれば、金属アレルギーが心配な方でも安心して被せもの治療をしていただくことが可能です。 口元のバランスを整え、調和の取れた自然な歯を手に入れることができます。
セラミックの種類
e-max(オールセラミック)
強度が高く、天然歯に近い自然な透明感がある素材です。 最大の特長は、天然歯と同じように摩耗することです。噛み合う歯が天然歯だったとしても、過度な負荷をかけないので、患者様の負担が軽減されます。
ジルコニアセラミッククラウン
金属を使用しないセミラックで、オールセラミックスクラウンにくらべて強度が高いのが特徴です。力がかかりやすい部分、特に奥歯な度に用いられることが多いです。
セラミッククラウンの症例:テトラサイクリン歯
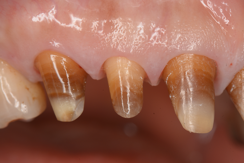
40代女性
術前
テトラサイクリン系抗生物質により、前歯部変色歯の治療例

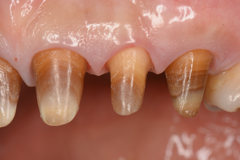
術中
神経を保存した状態で、6前歯の形成が終了した状態です。表面だけでなく内部まで、変色が及んでいます。



術中:印象採得
個歯トレーとシリコン印象材による、精密印象採得(印象の写真)

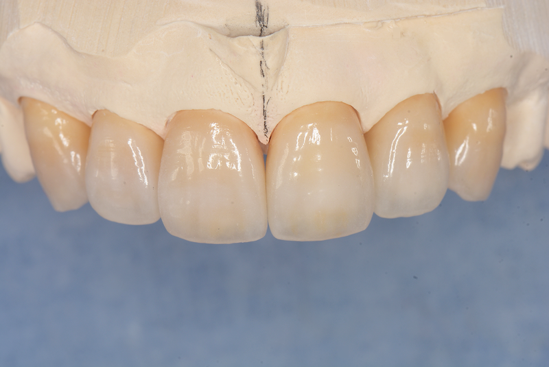
術後:クラウンの完成
完成したジルコニアセラミッククラウンです。

術後:試適
右側のみ試適した状態です。

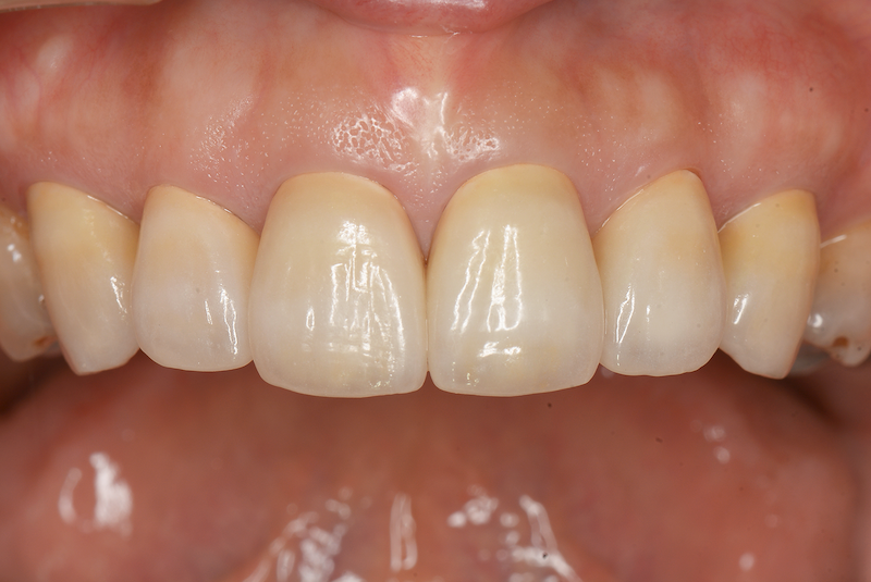
術後:完了
6前歯をジルコニアセラミッククラウンで修復完了した状態です。
