ホワイトニング
輝くような白い歯を【ホワイトニング】

歯の黄ばみやくすみが気になる方におすすめなのがホワイトニングです。歯みがきでは落としにくい汚れの原因は、タバコのヤニやワイン・コーヒー・紅茶などに含まれる色素にあります。そういった汚れを落とし、輝くような白い歯を作る治療がホワイトニングなのです。
ホワイトニングの治療は、歯の表面にホワイトニング剤を塗り、薬を内側に浸透させていくことで白くしていくものになります。
当院では歯科医院で行うオフィスホワイトニングと、患者さんにご自宅で行っていただくホームホワイトニングを組み合わせた治療をおすすめしています。
こちらのページでは当院のホワイトニングについてご紹介させていただきます。
ホワイトニングはこんな方におすすめ
- 歯を白くしたい
- 前歯の汚れが気になる
- スケジュールに合わせて治療を受けたい
- 歯の美しさを持続させたい
オフィスホワイトニング
- 短期間で歯を白くできる
- 施術時間約30分~1時間
オフィスホワイトニングは、歯科医院で行われるホワイトニングです。まず、歯にホワイトニング剤を塗り、特別な光を照射して歯を白くしていきます。短期間で治療が済み、いち早く効果が実感できることが特徴です。
Beyondシステムは、低料金、短時間で安全にホワイトニングを行えます。
オフィスホワイトニングの方法

- 検査する
ホワイトニングができるかどうか検査し、歯の色の診断・撮影を行います。 - 歯の汚れを取る
歯をしっかり磨き、歯の表面の汚れを取り除きます。 - 歯の周辺を保護する
歯の周辺を傷つけないように、しっかり保護します。 - ホワイトニング開始
ホワイトニング剤を歯の表面に塗り、レーザーで照らし、再度歯の表面を磨きます。 - ホワイトニング完了
ホワイトニング完了後の歯の色の診断・撮影を行います。
ホームホワイトニング
- ご自宅でお好きな時間にホワイトニング
- 約2~4週間で歯が白くなります
歯科医師の指導を受けながら、患者さん自身にご自宅で行っていただくホワイトニングです。まず当院で患者さんの歯型にあったトレー(薄く、柔らかいマウスピース)を作成します。そして、ご自宅でトレーの中にホワイトニングジェルを注入し、2時間ほど歯に装着してください。個人差もありますが、約2~4週間で歯が白くなります。
当院のホームホワイトニングの特徴【ウルトラデント社の「オパールエッセンス」】
- 国内の歯科医院向けに厚生労働省が認可したホワイトニング剤で安心、安全
- 他製品にはない粘度で、トレーからホワイトニング剤が漏れにくい(不快感が少ない)
ホームホワイトニングの方法
- まずは歯を磨いてください。
- マウスピースのホワイトニングジェルを入れる部分がぬれていたら、ティッシュでふき取ります。
- ホワイトニングジェルをシリンジにお入れください。
- マウスピースを歯にはめます。
- 使用後は、マウスピースをはずし、歯についているホワイトニングジェルは歯ブラシできれいにしてください。また、マウスピースについているホワイトニングジェルは、水で流してきれいにしてください。(熱湯は変形の原因になりますので使用しないでください。)
- マウスピースはケースに保管してください。
ホワイトニング 料金表
| 項目 | イメージ | 内容 | 費用(税別) |
|---|---|---|---|
| オフィスホワイトニング | ![]() |
歯科医院で行うホワイトニング | 25,000円 |
| ホームホワイトニング | ![]() |
ご自宅で行うホワイトニング | 35,000円 |
| 追加ホワイトニングジェル | 1本 2,500円 |
ホワイトニング症例 20代女性


ホワイトニング症例2 30代女性


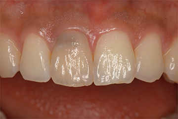
1本の変色歯(失活歯)のホワイトニング 20代男性
術前

初診時、前歯部の歯並びと審美障害を主訴に来院されました。
10代の頃に前歯をぶつけて、神経が死んでしまったことにより、 歯の内部から変色してしまった症例です。
削ってセラミックで修復するなど色々な方法が考えられますが、歯自体には虫歯などなく、歯の裏側からホワイトニング剤を注入して、2週間おきに薬剤を交換していきました。
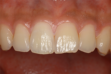
術後

約2ヶ月半〜3ヶ月で、元の白い歯の状態に戻すことが出来ました。最後に裏側からCR充填を行って、治療終了がしました。費用は約1万円です。
診療時間&アクセスマップ
| 診療時間 | 月 | 火 | 水 | 木 | 金 | 土 | 日 |
|---|---|---|---|---|---|---|---|
| 09:30~13:00 | ● | ● | ● | ● | ● | - | - |
| 14:00~18:30 | ● | ● | ● | ● | ● | - | - |

